본문 바로가기

뉴스

“결국 병원도 사용한다”…폐암·유방암 판독에 AI 활용 논의 중인 ‘이 나라’

댓글0
헤럴드경제

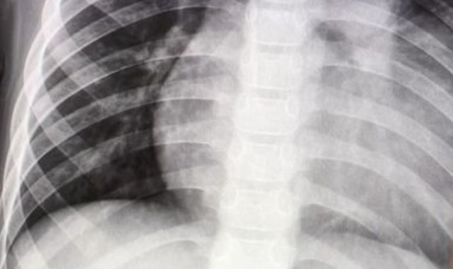
[연합]



[헤럴드경제=김주리 기자] 일본 정부가 엑스레이(X-ray) 촬영에 의한 폐·유방·위암 판독에 인공지능(AI)을 활용하는 방안을 검토한다고 아사히신문이 24일 보도했다.

이날 연합뉴스 등에 따르면 후생노동성은 현재 폐암 등 검진 때 엑스레이 촬영 결과를 2명 이상의 의사가 판독하도록 권고하고 있다.

그러나 영상이나 사진에서 이상 여부를 찾아내는 AI 기술이 크게 발전함에 따라 AI를 활용해 검진 비용을 낮추기 위해 1차 판독을 AI에 맡겨도 검진 정확성이 유지될 수 있는지 검증하기로 했다.

후생노동성은 전날 열린 전문가 검토회의에서 이런 방안을 제시했다.

구체적인 검증 기간과 방법은 아직 정해지지 않았다.

기사가 속한 카테고리는 언론사가 분류합니다.
언론사는 한 기사를 두 개 이상의 카테고리로 분류할 수 있습니다.

헤럴드경제 주요뉴스

해당 언론사로 연결

지금 봐야할 뉴스

  • 쿠키뉴스‘판’ 커졌지만…與, 평택을 ‘히든카드’ 오리무중
  • 경향신문트럼프가 이란 ‘차기 지도자’로 낙점?···혁명수비대 출신 강경파 갈리바프, 대화 나설까
  • 동아일보김병욱 “장남 부부 누적소득 17억…강남 아파트 살 돈 충분” 해명
  • 일요시사정청래 “상임위 100% 독식” 후반기 원 구성 전운

쇼핑 핫아이템

AD