본문 바로가기

뉴스

허리 통증 지속된다? 척추 압박골절 의심… 압박골절 치료와 보조기 도움

댓글0
스포츠월드

골다공증이 있거나 낙상 위험이 높은 사람에게 갑작스러운 허리 통증은 단순 근육통이 아닌 척추 압박골절 신호일 수 있다.

척추 압박골절은 척추뼈가 위에서 눌리는 힘을 받아 납작하게 주저앉는 형태의 골절로, 노년층에서 흔하게 발생한다. 골다공증으로 뼈가 약해진 경우에는 기침이나 재채기 같은 작은 자극에도 발생할 수 있다. 젊은 층에서는 추락이나 교통사고 같은 강한 외상이 원인이 되기도 한다.

증상은 비교적 뚜렷하다. 허리나 등에 갑작스럽고 강한 통증이 발생하며, 돌아눕거나 일어나는 동작이 어려워진다. 특정 부위를 누르거나 두드릴 때 통증이 심해지고, 통증이 가슴이나 옆구리, 엉덩이까지 퍼질 수 있다.

방치할 경우 척추가 점차 굽는 변형으로 이어질 수 있고, 경우에 따라 다리 저림이나 감각 저하 같은 신경 증상이 동반되기도 한다. 단순한 허리 삠으로 오인해 치료 시기를 놓치는 경우가 많아 주의가 필요하다.

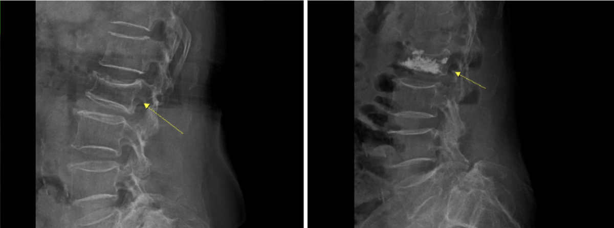
진단은 X-ray를 통해 척추뼈가 눌린 상태를 확인하는 게 기본이다. 다만 골절의 시기나 신경 압박 여부까지 확인하기 위해 MRI나 CT를 추가로 시행하기도 하며, 골다공증 여부를 확인하기 위한 골밀도검사도 중요하다.

치료는 골절의 상태와 통증 정도에 따라 달라진다. 초기에는 약물치료와 주사치료, 물리치료, 보조기 착용 등 보존적 치료를 우선 시행한다. 보조기는 척추를 지지해 추가적인 손상을 막고 통증을 줄이는 데 도움을 주며, 일정 기간 안정과 함께 회복을 유도한다.

하지만 보존적 치료에도 통증이 지속되거나 척추가 더 주저앉는 경우에는 척추체 성형술을 고려할 수 있다. 척추체 성형술은 특수 바늘을 이용해 골절 부위에 골시멘트를 주입해 척추를 안정화시키는 치료로, 비교적 빠른 통증 완화와 일상 복귀가 가능하다는 장점이 있다. 국소마취로 진행되기 때문에 고령 환자에게도 부담이 적은 편이다. 시술은 영상장비를 통해 병변 위치를 확인하면서 진행되며, 골시멘트가 굳으면서 척추체를 지지해 통증을 줄이고 추가적인 변형을 예방한다.

스포츠월드

다만 모든 압박골절에 동일하게 적용되는 것은 아니다. 골절의 형태나 신경 압박 여부에 따라 치료 방법이 달라질 수 있다. 특히 외상으로 인한 불안정 골절이나 신경 손상이 동반된 경우에는 추가적인 수술적 치료가 필요할 수 있다.

회복기에는 통증이 줄었다고 해서 무리하게 활동하기보다, 보조기 착용과 함께 점진적으로 움직임을 늘리는 것이 중요하다. 허리를 과도하게 사용하는 동작이나 무거운 물건을 드는 행동은 피해야 하며, 재골절 예방을 위한 관리가 필요하다.

배장호 서울바른세상병원 원장(신경외과 전문의)은 “척추 압박골절은 방치할 경우 척추 변형이나 만성 통증으로 이어질 수 있다”며 “특히 골다공증이 있는 고령층에서 갑작스러운 허리 통증이 발생했다면 조기에 정확한 진단을 받고, 상태에 맞는 치료를 진행해야 한다”고 말했다.

이어 “예방을 위해서는 칼슘과 비타민D 섭취, 규칙적인 운동, 바른 자세 유지가 필요하며, 낙상을 줄일 수 있는 생활환경을 만드는 것도 중요하다. 정기적인 골밀도검사를 통해 뼈 건강을 관리하는 습관이 척추 압박골절을 예방하는 데 도움이 될 수 있다”고 강조했다.

#

정희원 기자 happy1@sportsworldi.com

ⓒ 스포츠월드
기사가 속한 카테고리는 언론사가 분류합니다.
언론사는 한 기사를 두 개 이상의 카테고리로 분류할 수 있습니다.

이 기사를 본 사람들이 선택한 뉴스

  • 아시아경제부여군, 소비쿠폰 지급률 92.91%…충남 15개 시군 중 '1위'
  • 더팩트수원시, '2025 수원기업 IR데이 수원.판' 6기 참여 기업 모집
  • 경향신문서울시 ‘약자동행지수’ 1년 새 17.7% 상승…주거·사회통합은 소폭 하락
  • 헤럴드경제“김치·된장찌개 못 먹겠다던 미국인 아내, 말없이 애들 데리고 출국했네요”
  • 뉴스핌김해 나전농공단지에 주차전용건축물 조성…주차 편의 도모

쇼핑 핫아이템

AD